
Uzmanlar, son günlerde artan solunum yolu enfeksiyonlarına karşı vatandaşları uyardı. Hava sıcaklıklarının gün içinde ani değişim göstermesiyle birlikte bağışıklık sistemi zayıflarken, influenza (grip), kovid-19 ve RSV virüsleri aynı anda etkili olmaya başladı. Göğüs Hastalıkları Uzmanı Prof. Dr. Şevket Özkaya, bu üç virüsün “3’lü salgın” etkisi oluşturduğunu belirterek, “Frankenstein varyantı” olarak bilinen yeni kovid türünün Türkiye’de de görüldüğünü açıkladı. Özkaya, “En ufak şikayetiniz bile varsa evde dinlenin. Bu dönemde hastalıklar daha uzun sürüyor ve zatürre riski artıyor.” uyarısında bulundu.

Türkiye genelinde solunum yolu enfeksiyonları yeniden tırmanışa geçti. Uzmanlar, influenza (grip), kovid-19 ve RSV virüslerinin aynı anda görülmesiyle birlikte “3’lü salgın” alarmı verdi. Göğüs Hastalıkları Uzmanı Prof. Dr. Şevket Özkaya, mevsim geçişlerinde yaşanan ani sıcaklık değişimlerinin bağışıklığı zayıflattığını belirterek, “Frankenstein varyantı”nın Türkiye’de görüldüğünü söyledi.

"ÜÇ FARKLI VİRÜS YÜZÜNDEN UZUN SÜRÜYOR"
Prof. Dr. Özkaya, son dönemdeki hava şartlarına dikkat çekerek, "Sonbahar ve yaz karışımı bir iklimin etkisiyle gün içinde ani sıcaklık değişimleri yaşanıyor. Aynı gün içerisinde dört mevsimi birden yaşıyoruz. Bu durum bağışıklık sistemini zayıflatıyor ve grip benzeri şikayetlerle başlayan hastalık tabloları, üç farklı virüsün etkisiyle uzamış bir hal alıyor" dedi.

"FRANKENSTEİN VARYANTI TÜRKİYE’DE"
Kovid-19’un "Frankenstein varyantı" olarak adlandırılan yeni türünün Türkiye’de de görüldüğünü ifade eden Prof. Dr. Özkaya, "Mevcut hastalarımız içinde kritik veya hayatı tehdit eden bir tablo yok. Ancak bu varyantın bulaşıcılığının yüksek olduğunu ve Avrupa ile Asya’da hızlı bir şekilde yayıldığını biliyoruz" diye konuştu.

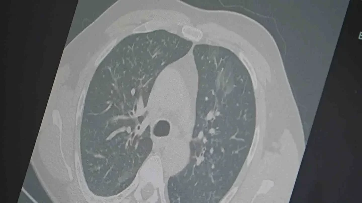
GRİP VE KOVİD SONRASI ZATÜRE RİSKİ
Dr. Özkaya, grip ve kovid 19'un zatürreye dönüşme riski taşıdığını vurgulayarak, "Grip veya kovid sonrası birçok hastamızda hastalık akciğerlere iniyor ve zatürre olarak karşımıza çıkıyor. Hastaneye yatan hasta sayısında da artış gözlemliyoruz" şeklinde konuştu.

HAFİF GEÇİRİLİYOR AMA HIZLI BULAŞIYOR
Salgının günlük hayatı aksatmadan ancak sinsi bir şekilde yayıldığını belirten Özkaya, "Grip ve kovid artık yatağa düşürecek kadar ağır seyretmese de günlük işlerimizi yapmayı zorlaştırıyor. "

"Ne tam hasta ne de tam iyilik hali olmadan virüs toplumda dolaşmaya devam ediyor. Dinlenmeyen ve izolasyon uygulamayan vakalar bulaş zincirini sürdürüyor" ifadelerini kullandı.

EN UFAK ŞİKAYETTİ OLANLAR EVDE DİNLENSİN
Prof. Dr. Özkaya, vatandaşlara şu önerilerde bulundu:
"En ufak grip benzeri şikayeti olan vatandaşlarımızın evlerinde dinlenmelerini öneriyoruz. Uzamış öksürük ve nefes darlığı yaşayanların ise mutlaka doktora başvurarak akciğer röntgeni çektirmeleri ve uygun tedaviyi almaları gerekiyor."






