
Bursa'da evde oynarken yerde bulduğu madeni 1 lirayı yutan 9 aylık bebek ölümden döndü. Röntgen filminde bebeğin boğazındaki 1 lirayı farkeden doktorlar operasyonla parayı çıkardı. Evine dönen Mustafa ise her şeyden habersiz oyunlarına devam etti.
Bursa'nın İnegöl ilçesinde yaşayan Abir ve İbrahim Osman çiftinin tek çocuğu olan 9 aylık Mustafa Osman, evde oyun oynadığı sırada yerde bulduğu 1 lirayı yuttu. Boğazına takılan madeni para yüzünden nefessiz kalan minik bebek önce İnegöl Devlet Hastanesi'ne ardından da Bursa Şevket yılmaz Eğitim Araştırma Hastanesine götürüldü.
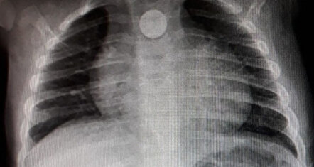
Bozuk para röntgen filminde ortaya çıktı
Yoğun bakıma alınan minik bebeğe önce film çekildi. 9 aylık Mustafa'nın boğazına takılan madeni para filmde ortaya çıkınca doktorlar tarafından operasyon yapıldı. Boğazındaki 1 lira çıkarılan minik bebek daha sonra rahat nefes almaya başladı. 1 gün hastanede müşahade altında tutulan küçük çocuk bugün taburcu edildi. Doktorların zamanında müdahalesiyle yeniden hayata dönen küçük çocuğu evinde yeniden oyuncaklarıyla oynamaya başlaması ev sakinlerini sevindirdi.










