
Balon patlatmaca oynayan 17 yaşındaki Hülya Dolanbay, üzerine atlayan kediden korkunca ağzındaki 15 iğneyi yuttu. Hastanede Dolunbay'ın karnından 6 iğne çıkartıldı, 9’unun hala içeride olduğu öğrenildi.
Elazığ'da ağzına aldığı iğnelerle balonları patlamaya çalışırken üstüne kedi atlaması sonucu korkan ve 15 iğneyi yutan genç kız, tedavi altına alındı. 3'ü kolonoskopi, 3'ü de doğal yolla çıkan iğnelerden geriye kalan 9'u için hastanın takip altına alındı. Edinilen bilgiye göre, arkadaşlarıyla oynayan 17 yaşındaki Hülya Dolanbay, yere uzanarak ağzına 15 tane toplu ve dikiş iğnesi aldı. İğneleri balona fırlatarak patlatmaya çalışırken üzerine bir anda kedinin sıçramasıyla korkan Dolanbay, ağzındaki 15 iğneyi yuttu.
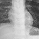
Ailesine durumdan bahsetmeyen Dolanbay, ertesi gün karın ağrısıyla hastaneye gitti. Tedavi altına alınan genç kızdan, iğnelerden 3'ü doğal yolla, midede ve ince bağırsakta bulunan 3 iğne de endoskopi yöntemiyle çıkarıldı. Kalan 9 iğnenin bağırsağın ilerisinde ve kalın bağırsakta olduğu öğrenildi. Dolanbay, gözlem altına alındı. Gözlem sonucunda doğal yolla çıkmayan iğnelerin, kolonoskopi yöntemi ile alınacağı bildirildi.
Bazı iğneler bağırsakta ve midede duruyor
Dışarıda arkadaşlarıyla oynadığını belirten Hülya Dolanbay, "Ağzıma 15 tane iğneyi aldım. Sonra yerde uzanarak balon patlatmaca oynayacaktık. Balona atarken birdenbire kedi üzerime atladı. Ne yapacağımı bilemedim. Birden hepsini yutmaya başladım. Aileme söyleyemedim. Karın ağrım vardı. Bir gün sonra acile gittim" dedi.
Mide ve ince bağırsaklara saplanan iğneler çıkartıldı. Çocuk Gastroenteroloji Anabilim Dalı Başkanı Prof. Dr. Yaşar Doğan ise, "Şuanda gözetimimiz altında. Yaklaşık 24 saat izlememize rağmen iğnelerin bazıları bağırsakta ve mide de olduğundan dolayı endoskopi yaptık. Mideye ve ince bağırsağa saplanmış olan iğneleri çıkardık" diye konuştu.








