İnanılmaz fark: İlaç kullanan ve kullanmayan korona hastalarının akciğerleri şaşkına çevirdi

10:5824/12/2020, Perşembe
G: 24/12/2020, Perşembe
IHA
Korona ilacı kullanmayan hastaların akciğerlerinde ciddi tahribat oluyor.
Korona ilacı kullanmayan hastaların akciğerlerinde ciddi tahribat oluyor.

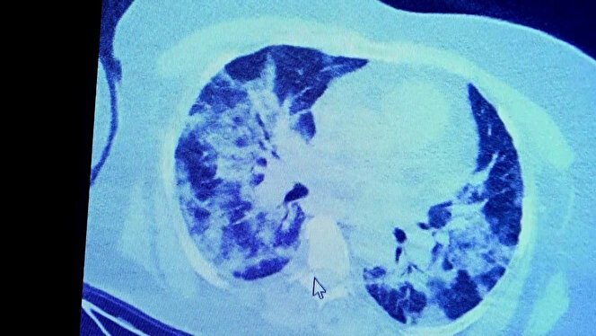
Koronavirüs testi pozitif çıkan hastaların ilaç kullandığı ve kullanmadığı durumda akciğerlerinin hali görüntülendi. Prof. Dr. Şevket Özkaya, bir hafta ilaç kullanmayan bir pozitif hastanın akciğer tomografisini inceledi. Hasta pozitif haldeyken ilk akciğer tomografisine bakıldı. Tomografide akciğerlerdeki tutulmanın az olduğu gözlemlendi. Sonra da aynı hastanın verilen ilaçları kullanmamış ve 1 hafta boyunca tedaviye uymamış haldeki akciğer tomografisine bakıldı. Sonuç ise ilaç kullanımının önemini ortaya çıkardı.

Sağlık Bakanı Fahrettin Koca ve uzmanlar korona virüs hastalarının tedavi sürecinde ilaç kullanılması konusunda sık sık uyarılarda bulunuyor. Göğüs Hastalıkları Uzmanı Prof. Dr. Şevket Özkaya, 55 yaşında ve 1 hafta ilaç kullanmayan pozitif bir hastanın akciğerlerindeki inanılmaz değişimi tomografi sonuçlarını göstererek ortaya koydu.

Sağlık Bakanı Dr. Fahrettin Koca Samsun’daki yoğun bakım doluluk oranının yüzde 80 olduğunu açıkladı. Uzmanlar ise Samsun’daki yoğun bakım doluluk oranının yüksek olmasının sebebini evlerde tedavi gören pozitif hastaların ilaçlarını kullanmakta tereddüt etmesine bağlıyor.


Ciğerlerdeki hava yollarının hava yerine ciddi şekilde sıvı ile dolduğu gözlemlendi

VM Medical Park Samsun Hastanesi’nde görev yapan Göğüs Hastalıkları Kliniği’nden Prof. Dr. Şevket Özkaya da bir hafta ilaç kullanmayan bir pozitif hastanın akciğer tomografisini inceledi. Hasta pozitif haldeyken ilk akciğer tomografisine bakıldı. Tomografide akciğerlerdeki tutulmanın az olduğu gözlemlendi. Akabinde aynı hastanın verilen ilaçları kullanmamış ve 1 hafta boyunca tedaviye uymamış haldeki akciğer tomografisine bakıldı. Sonuç ise ilaç kullanımının önemini ortaya çıkardı. Hastanın akciğer tomografisinde yaygın buzlu camların ve hava yollarının hava yerine ciddi şekilde sıvı ile dolduğu gözlemlendi.


"İlaç kullanmayanlarda akciğer harabiyeti dediğimiz bir tablo oluşmuştu"


Akciğer tomografisinde oluşan değişim ile ilgili bilgi veren Prof. Dr. Şevket Özkaya, "Ekranda 55 yaşında bir kadın hastamızın filmini görüyorsunuz. Bu kadın hastamız acil servisimize ateş şikâyetiyle geldi ve korona virüsünden şüphe ettik. Testini yaptığımızda ise testin sonucu pozitif geldi.
Tomografi çektiğimiz zaman akciğerlerinde henüz ciddi bir tutulum görünmezken hastamız 55 yaşında olduğu için her an ilerleyebilir korkusuyla Sağlık Bakanlığımızın önerdiği ilaçları ve reçeteyi hastanemizden kendisine verdik. Hasta kendini evde karantinaya aldı fakat sonradan öğrendik ki tereddüt ettiği için ilaçlarını kullanmayarak kendini evde tedavisiz bırakmış. Yaklaşık bir hafta sonra aynı hasta acil servisimize bu sefer solunum yetmezliği şikâyetiyle geldi. Solunum yetmezliği gelişince hastanın akciğer tomografisinde ‘buzlu cam’ dediğimiz ve daha ileri konsolide alanların oluştuğunu gördük.
Yaygın akciğer harabiyeti dediğimiz bir tablo oluşmuştu. Bu durumda hastada solunum yetmezliği olduğu için yoğun bakıma almak zorunda kaldık" dedi.


"Solunum yetmezliği ile karşı karşıya kalıyoruz"


Tedaviye başlanmadığı durumda solunum yetmezliğine kadar gidildiğini ve bazı zamanlar hastayı kaybettiklerini söyleyen Prof. Dr. Şevket Özkaya, "Korona virüsün insanlar üzerindeki inanılmaz etkilerini son 3-4 ayda daha ağır hissettik. Bütün hastaneler ve yoğun bakımlar neredeyse tama yakın doluluk oranı ile çalışıyor.
Sağlık çalışanlarından da çok fazla enfekte olan var. İnsanlarımızın özellikle bu hastalıktan korkarak doktora gelmediklerini; geldikleri zaman da kendilerine korona virüsü tanısı koyulduğunda sağlık bakanlığımızın önerdiği bütün hastalara ücretsiz dağıtılan ilaçları kullanmakta tereddüt ettikleri için inanılmaz derecede akciğerlerinde harabiyet ve solunum yetmezliği ile karşı karşıya kaldıklarını görüyoruz. Bizim bu konuda vatandaşlarımıza bu hastalığın ciddiyetinin bilincinde olarak sorumlulukla davranmalarını ve maske, mesafe, temizlik kuralına dikkat etmelerini öneriyoruz.
Mutlaka en ufak şikâyetlerinde vakit kaybetmeden tanı konulmasını sağlamalarını ve bakanlığımızın verdiği ilaçları kullanmalarını öneriyoruz. Aksi takdirde gerçekten geriye dönüşü olmayan sonuçlarla karşılaşıyoruz" diye konuştu.
#koronavirüs
#ilaç
#hasta